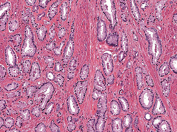
Prostatic adenocarcinoma Gleason 3

Gleason 4

Gleason 5