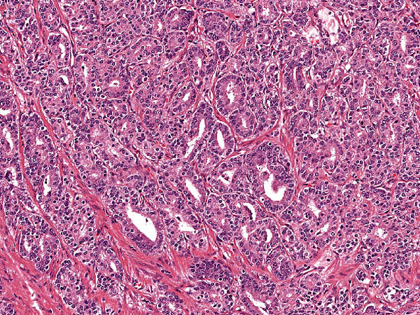
Prostatic adenocarcinoma Gleason 4

Gleason 3

Gleason 5